Ordinarie öppettider:
- Måndagar 10.00 - 17.00
- Tisdagar 08.00 - 16.00
- Onsdagar 08.00 - 18.00
- Torsdagar 08.00 - 16.00
- Fredagar 08.00 - 12.00
(Ej telefontid)
Östermalmstandläkarna
-
Nybrogatan 37, 114 39 Stockholm
-
Team Maria Tel:0703-632850
- Team Milena Tel:0730-27 64 01
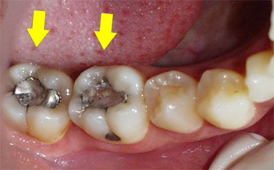
Amalgamsanering

- Tandläkare som byter ut dina Amalgamfyllningar
Att amalgamfyllningarna belastar immunförsvaret har blivit bekräftat via forskning och grundliga undersökningar. Därför byter vår tandläkare, här på Östermalm, ut amalgamfyllningar åt dig som har besvär av dessa.
Vi byter bl.a. till Keramik- och guld...
som är hållbarhetsmässigt de mest optimala alternativen till amalgamfyllningar, men vi jobbar även med plastfyllningar. Att ersätta amalgamfyllningar i tänderna kräver förberedelser och insikt då borttagandet kan frige en mängd belastande kvicksilver i kroppen. Vi har den erfarenheten och kompetensen som krävs.


Våra tandvårdstjänster/Behandlingar
Här Östermalmstorg, på Östermalm i Stockholm, erbjuds Ni av oss på Östermalmstandläkarna professionell tandvård med patientfokus. Våra tandläkare, tandsköterskor & tandhygienister har alla lång erfarenhet av allt från allmäntandvård, barn- & ungdomstandvård till estetisk tandvård & tandblekning, amalgamsanering med mera. Vi är även specialiserade på behandling av tandvårdsrädda patienter.
Exempel på behandlingar som vi utför är:
- Gör tänder vitare
- Skalfasader
- Blekning av mörk rotfylld tand
- Tandreglering
- Fyllnad av tandluckor med implantat eller bro
- Förebyggande vård & behandling av tandlossning
- Lagningar med komposit, porslin, guld & hela kronor
- Korrigering av bettet vid tandgnissling/-pressning genom inslipning & bettskena
Allmäntandvård på Östermalm
- Det är tandvård, som tandläkaren här sysslar med dagligen.
Här på Östermalmstandläkarna erbjuder vi allmäntandvård vilket innebär bastandvård som i huvudsak består av regelbundna undersökningar, profylax (förebyggande tandvård), behandling av tandlossning, lagningar, rotbehandlingar, men även återuppbyggnad av bett med porslinskronor och broar samt implantat och skalfasader.
Vi gör även bettskenor för att avlasta käkmusklerna och käkleder. Klicka & läs mer >>>




